2021.07.30
毎年恒例のサマースクールがオンラインで開催されました。
ドクターブログ・中山明
皆様こんにちは。
院長の中山です。
オリンピックがいよいよ始まりましたね。
賛否有る中での開催ではありますが、日本で見られるオリンピックは滅多にありませんので、お家観戦で楽しみたいと思います。
コロナ渦でのニューノーマルのオリンピック、是非成功して頂きたいですね!
先日、この時期、毎年恒例のサマースクールがオンラインで開催されました。
ウィーンからの生配信で時差の関係も有り、、深夜まで拝聴させて頂きました。
今回は、ブラジルの先生がプレゼンされた「開口」症例をお見せしたいと思います。
専門的には、「オープンバイト」とも呼ばれています。
「80歳で20本」を日本では掲げられていますが、高齢まで歯を長持ちさせる要素の中で噛み合わせは大変重要な位置付けになります。
特に、オープンバイトの様な「前歯で噛めていない」方は多く見受けられます。
乳歯列〜混合歯列〜永久歯列と成長が進む中で、下図の基準は普遍的、つまり変化をほぼ起こさない基準とされています。
この噛み合わせの高さをコントロールする事が「オープンバイト」治療に置いて成果を発揮します。
左下が今回のプレゼンテーション症例、右下が当院で行われた矯正治療症例です。
まず、先生の提示されたケースにおいては通法通り矯正器具とゴムによる牽引で前歯が閉鎖されているのが分かりますね。
矯正治療には「顎間ゴム」という弾性ゴムを装着するのがスタンダードになります。
上下の歯にゴムを付ける事(診断によってゴム位置は変わります)で顎を閉じさせる効果があります。
当院で行われた症例です。
下図の正面と横から見た前歯をご覧ください。
完全に前歯が開いてしまっていますね。
経過をご覧ください。
同じく、矯正器具とゴムを使って改善を図りました。
正面においては、真ん中がぴったりと揃い、前歯も閉じているのが分かります。
側面においては、上の前歯は下がり、下の顎が前方に誘導されているのも確認出来ます。
ブラジルの先生も話されていましたが、重要なのは診査・診断です。
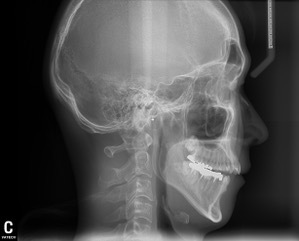
術前の診査で、レントゲン写真から導きだされた骨格の角度分析が大変重要になります。
この2症例共に、治療経過の近い症例ですが、同じ症例は1つとして有りません。
患者さん個々に、オーダー矯正治療を行う為には、地道な分析が必要な訳ですね。
20代や30代の若い年代のうちに、将来の歯を守る為に「予防矯正」を当院でも勧めております。
歯列の改善は、虫歯や歯周病の予防にも繋がります。
まずは、相談会を実施しておりますので、御興味の有る方は是非お声掛けして頂ければ幸いです。
院長の中山です。
オリンピックがいよいよ始まりましたね。
賛否有る中での開催ではありますが、日本で見られるオリンピックは滅多にありませんので、お家観戦で楽しみたいと思います。
コロナ渦でのニューノーマルのオリンピック、是非成功して頂きたいですね!
先日、この時期、毎年恒例のサマースクールがオンラインで開催されました。
ウィーンからの生配信で時差の関係も有り、、深夜まで拝聴させて頂きました。
今回は、ブラジルの先生がプレゼンされた「開口」症例をお見せしたいと思います。
専門的には、「オープンバイト」とも呼ばれています。
「80歳で20本」を日本では掲げられていますが、高齢まで歯を長持ちさせる要素の中で噛み合わせは大変重要な位置付けになります。
特に、オープンバイトの様な「前歯で噛めていない」方は多く見受けられます。
乳歯列〜混合歯列〜永久歯列と成長が進む中で、下図の基準は普遍的、つまり変化をほぼ起こさない基準とされています。
この噛み合わせの高さをコントロールする事が「オープンバイト」治療に置いて成果を発揮します。
左下が今回のプレゼンテーション症例、右下が当院で行われた矯正治療症例です。
まず、先生の提示されたケースにおいては通法通り矯正器具とゴムによる牽引で前歯が閉鎖されているのが分かりますね。
矯正治療には「顎間ゴム」という弾性ゴムを装着するのがスタンダードになります。
上下の歯にゴムを付ける事(診断によってゴム位置は変わります)で顎を閉じさせる効果があります。
当院で行われた症例です。
下図の正面と横から見た前歯をご覧ください。
完全に前歯が開いてしまっていますね。
経過をご覧ください。
同じく、矯正器具とゴムを使って改善を図りました。
正面においては、真ん中がぴったりと揃い、前歯も閉じているのが分かります。
側面においては、上の前歯は下がり、下の顎が前方に誘導されているのも確認出来ます。
ブラジルの先生も話されていましたが、重要なのは診査・診断です。
術前の診査で、レントゲン写真から導きだされた骨格の角度分析が大変重要になります。
この2症例共に、治療経過の近い症例ですが、同じ症例は1つとして有りません。
患者さん個々に、オーダー矯正治療を行う為には、地道な分析が必要な訳ですね。
20代や30代の若い年代のうちに、将来の歯を守る為に「予防矯正」を当院でも勧めております。
歯列の改善は、虫歯や歯周病の予防にも繋がります。
まずは、相談会を実施しておりますので、御興味の有る方は是非お声掛けして頂ければ幸いです。
お気軽にご予約・ご相談ください