

私達は、お子様が習い事のような感覚でそう言ってくれる歯科医院でありたいのです。子供の頃に歯科医院で嫌な思いをして、大人になっても虫歯だらけの方がたくさんいらっしゃいます。今の問題を治すことだけではなく、原因を追求したアプローチをおこない、虫歯を繰り返さず、生涯健康なお口で過ごせることを目標にしています。そのためにはまず、お子様に歯科医院を好きになってもらうことを大切にしています。



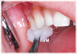
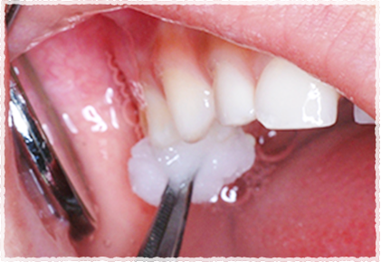
歯ブラシ、もしくは綿球で直接歯にフッ素を塗布します。
簡単に短時間でおこなえますので、小さいお子様には適していますが、浸透力は弱めです。


マウスピースにフッ素を入れてお子様のお口に装着。上下別々に各 3~ 4分間フッ素を浸透させる方法です。しっかり全体的に浸透させることができますが、ある程度理解力のある年齢にならないと処置が難しい場合があります。




萌出後間もない乳歯はとても歯質が柔らかくデリケート。注意を怠るとすぐに虫歯になってしまいます。当院ではキッズ用虫歯プログラムをおこない、お子様の大切な歯を守ります。

フッ素を歯質に取り込むことで、酸によって一度溶けてしまった(脱灰)歯質を元に戻し(再石灰化)、エナメル質の結晶構造を変化させ、酸に溶けにくい強い歯を作ります。また、細菌の活動を抑制する働きもあり、虫歯の原因となる酸の産出を低下させます。

歯ブラシ、もしくは綿球で直接歯にフッ素を塗布します。簡単に短時間でおこなえますので、小さいお子様には適していますが、浸透力は弱めです。


マウスピースにフッ素を入れてお子様のお口に装着。上下別々に各 3~ 4分間フッ素を浸透させる方法です。しっかり全体的に浸透させることができますが、ある程度理解力のある年齢にならないと処置が難しい場合があります。



歯の表面では、成分のひとつであるミネラルが溶け出す「脱灰」と、ミネラルが歯に残って結晶化する「再石灰化」が繰り返されています。この脱灰と再石灰化のバランスが崩れ、ミネラルが溶け出す脱灰のほうが大きく、再石灰化が追い付かないとむし歯になります。

お口の中では上記のような状態が繰り返されていますが、フッ化物がとり込まれると、再石灰化を促し、溶け出してしまったミネラルを素早く回復させることができます。

フッ化物が歯の表層を守るエナメル質に摂り込まれます。①で解説したように、再石灰化の働きによって歯の表面が硬くなり、虫歯菌が出す酸によって脱灰しにくい強い歯になります。

むし歯の原因菌の活動をるため、細菌が持つ酸を出す能力を抑えます。酸が産み出されにくくなることで、口腔内環境がよくなります。




全ての治療で痛くない治療を行うことが前提ですが、お子様の場合は特に「何をされるかわからない」という不安感や恐怖心から拒絶反応を起こしたり泣き出してしまうこともあります。そこで、当院では、TSD法をおこないます。何をするか説明し(Tell)、使う道具を見せ(Show)、実際に行う(Do)という手順を処置前に徹底しています。何をするのか理解でき、痛くないと理解すれば、ほとんどのお子様は問題なく治療をうけることができるようになりますよ。




お口の中では上記のような状態が繰り返されていますが、フッ化物がとり込まれると、再石灰化を促し、溶け出してしまったミネラルを素早く回復させることができます。

フッ化物が歯の表層を守るエナメル質に摂り込まれます。①で解説したように、再石灰化の働きによって歯の表面が硬くなり、虫歯菌が出す酸によって脱灰しにくい強い歯になります。

むし歯の原因菌の活動をるため、細菌が持つ酸を出す能力を抑えます。
酸が産み出されにくくなることで、口腔内環境がよくなります




















