2019.10.31
OHCP(オーラルヘルスケア)研修会に参加して参りました。
ドクターブログ・中山明
皆様こんにちは!
院長の中山です。
先日の日曜日に、都内にてOHCP(オーラルヘルスケア)研修会に参加して参りました。
日頃より定期管理予防を行なっている他院の衛生士、保育士、事務のスタッフが中心となって症例検討やディスカッションを行う会です。歯科医師は参加出来ない習わしなのですが、今回は「院内コミュニケーション」がテーマでしたので、院長とスタッフ間の話し合いも兼ねて初参加になりました。
当院でも常日頃、定期的なミーティングを行なってコミュニケーションの構築には余念が無いつもりではいましたが、他院様のスタッフとの合同ディスカッションでも有り、今後の院内システムや労働環境など、色々な面での改善を図る余地が見えてきたのが率直な感想でした。
スタッフにとって働き易い環境作りは今後の、なかやま歯科医院の成長に関わってくる大切な要素であると実感した次第で有ります!今後もお互いに意見を出し合える、透明性の有る組織作りを行っていきたいと考えております。


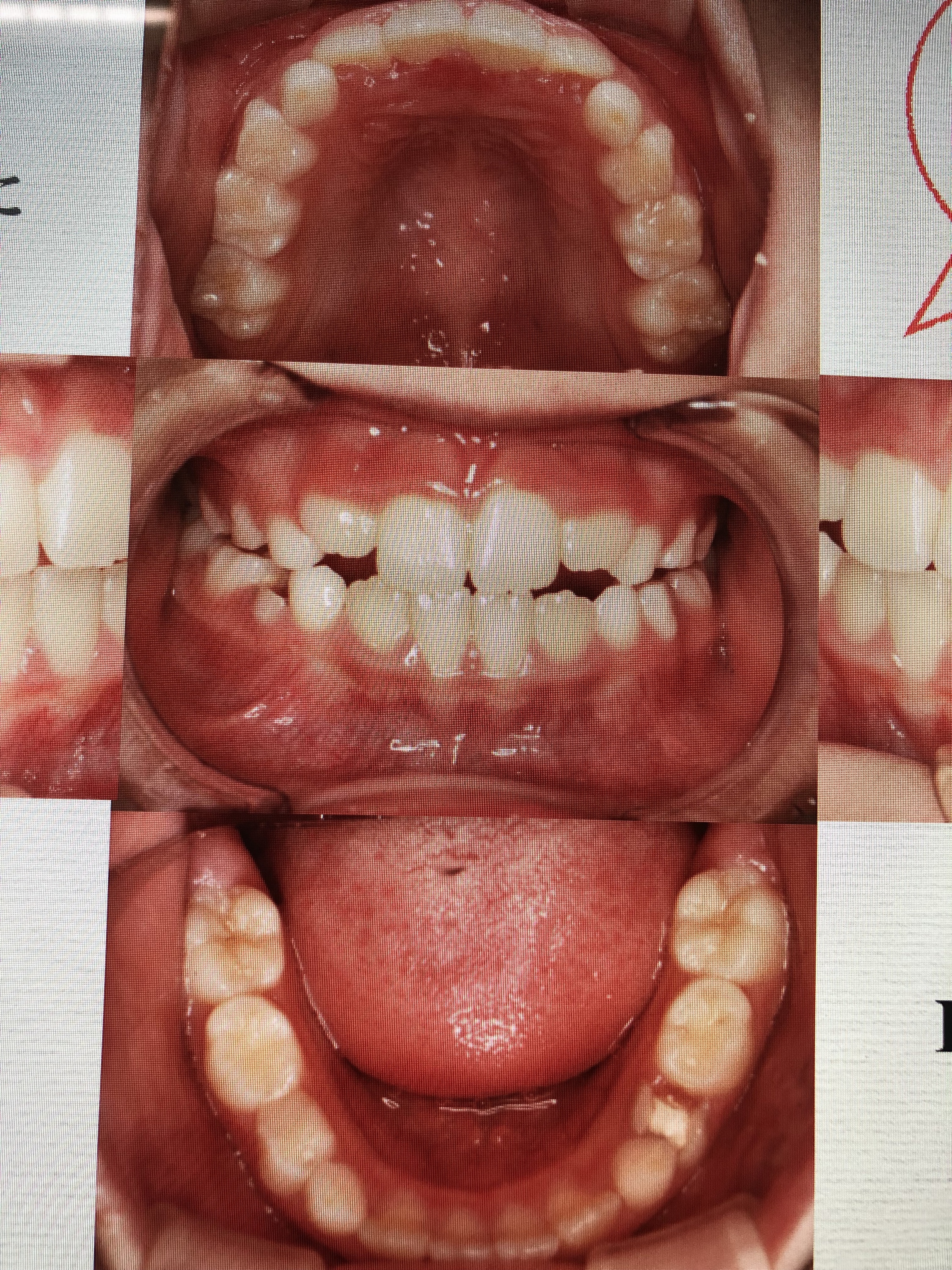
また、当院のMRC担当でも有ります、衛生士からも症例発表をさせて頂きました。小児の健康や歯並びの改善を目的とするMRCシステムを取り入れて、約2年ほどが経ちました。今では、多くの子供達が健全な口腔環境、成長を目的に当院に来院される様になりました。
衛生士である彼女のお陰で、虫歯予防やMRCの存在を、地域の方々への予防啓発も着実に身を結びつつあると自負致しております。
衛生士である彼女のお陰で、虫歯予防やMRCの存在を、地域の方々への予防啓発も着実に身を結びつつあると自負致しております。


健全な口腔環境を整える上では、呼吸のバランスや舌の位置、口腔周囲の筋肉の使い方などを日々のトレーニング(アクティビティー)によって正常な状態に改善する事は必要不可欠です。
日頃何気なく行っている’癖’が、良い習慣に変化出来る事で、口腔内の環境は劇的に変化して行きます。当院で行なったMRCの症例写真が物語っていると思います。
お子様に対しての、親御様からの質問や疑問など、些細な事でも承ります。
気になる事が御座いましたら、当院までご連絡下さい!!
気になる事が御座いましたら、当院までご連絡下さい!!





お気軽にご予約・ご相談ください






