2020.08.31
上手に噛める子に育てるために
スタッフブログ・キッズ担当衛生士 沼倉
こんにちは。
キッズ担当衛生士沼倉です。
朝晩少しずつ肌寒くなってきて、夏から秋に季節が変わってきましたね!秋と言えば、運動会のシーズンだったりもしますが、今年は生活様式も変わり、中止になったり、短縮して行なっている学校や幼稚園、保育園も多いようです。少し寂しい感じもありますね…。
ですが、秋と言えば”食欲の秋”じゃないですか?私は食べることが好きなので、真っ先に”食欲の秋”です。
今年は家で家族と美味しいものをいっぱい食べたいなと思っています。
ところで皆さん…題名にもありますが、上手に噛めるってどんな事?って思いますよね。
では、皆さん、スティック野菜のニンジンを食べる時を想像してみてください。
どこの歯で噛み始めますか?
大体の方は、前歯で噛み切れる大きさに噛み切り、奥歯でもぐもぐと噛み、飲み込みますよね?私は普段子供たちを対象にメンテナンスや、お口のトレーニングを行なっていますが、上記のように噛むお子さんは少ないように感じます。多くの子供たちは、前歯は使わず、奥の方で噛み始めたり、前歯では噛み切れないため口の中に押し込む子供もいます。
前歯は切歯と言って、漢字の通り食べ物を切る役割があります。
奥歯は臼歯と言って、漢字の通り食べ物をすり潰す、いわゆる臼の役割があります。
今のお子さんたちは、この歯のそれぞれの機能を上手く使えていないことが多いのです。実際には噛み合わせがよくないので、上手に噛めないお子さんが多いです。
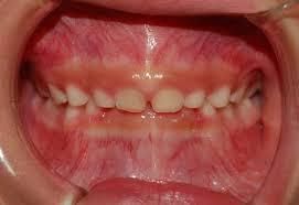
この噛み合わせは過蓋咬合といって、下の歯が見えない深い噛み合わせです。他にも
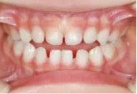
開咬といって前歯が噛み合っていない噛み合わせや、
反対咬合といって、下の顎が上の顎より前に出ている状態の噛み合わせのお子さんたちも多くいます。
このような噛み合わせだと、上手に前歯を使うのは難しいですよね…。
さらには、現代の食事は軟食傾向にあり、噛まなくても濃い味の食事が多くなってきています。そういったものを食べてはいけませんというのはとても難しいことだと思います(実際に私も焼きそばやオムライス、カレーライスなどにかなり助けられています)。やはり感じることは、上手に噛めるよう機能を育てていってあげるということがとても大事なのではないかと感じています。お子さんは乳幼児、学童期に著しく成長します。この時期に噛む機能を育ててあげることはとても重要です!!
当院では乳幼児期から食べる機能を育て、また呼吸も関連しているため、上手に呼吸ができるようにするプログラムがあります。
”キッズクラブ ”といって0歳〜3歳までのお子さんを対象とした教室です。
抱っこの仕方、離乳食を始めるサインは?、口を閉じるために、また食べないなどのお食事の悩み、コップやストローの使い方、などの悩みはありませんか?
実はここから機能を育てることは始まっています!
特別な、大変なことをするわけではありません。
日常に必要な機能を一緒に育てていくためのお手伝いをしています。
また3歳以上のお子さんを対象とした教室もあります。
私たちからも、お子さんたちが健康に成長して欲しいので積極的に働きかけをしていますが、当院にかかっている方はもちろん、かかっていない方でも大丈夫ですので、気になる方はいつでもご相談ください!!
では、皆さん、スティック野菜のニンジンを食べる時を想像してみてください。
どこの歯で噛み始めますか?
大体の方は、前歯で噛み切れる大きさに噛み切り、奥歯でもぐもぐと噛み、飲み込みますよね?私は普段子供たちを対象にメンテナンスや、お口のトレーニングを行なっていますが、上記のように噛むお子さんは少ないように感じます。多くの子供たちは、前歯は使わず、奥の方で噛み始めたり、前歯では噛み切れないため口の中に押し込む子供もいます。
前歯は切歯と言って、漢字の通り食べ物を切る役割があります。
奥歯は臼歯と言って、漢字の通り食べ物をすり潰す、いわゆる臼の役割があります。
今のお子さんたちは、この歯のそれぞれの機能を上手く使えていないことが多いのです。実際には噛み合わせがよくないので、上手に噛めないお子さんが多いです。
この噛み合わせは過蓋咬合といって、下の歯が見えない深い噛み合わせです。他にも
開咬といって前歯が噛み合っていない噛み合わせや、
反対咬合といって、下の顎が上の顎より前に出ている状態の噛み合わせのお子さんたちも多くいます。
このような噛み合わせだと、上手に前歯を使うのは難しいですよね…。
さらには、現代の食事は軟食傾向にあり、噛まなくても濃い味の食事が多くなってきています。そういったものを食べてはいけませんというのはとても難しいことだと思います(実際に私も焼きそばやオムライス、カレーライスなどにかなり助けられています)。やはり感じることは、上手に噛めるよう機能を育てていってあげるということがとても大事なのではないかと感じています。お子さんは乳幼児、学童期に著しく成長します。この時期に噛む機能を育ててあげることはとても重要です!!
当院では乳幼児期から食べる機能を育て、また呼吸も関連しているため、上手に呼吸ができるようにするプログラムがあります。
”キッズクラブ ”といって0歳〜3歳までのお子さんを対象とした教室です。
抱っこの仕方、離乳食を始めるサインは?、口を閉じるために、また食べないなどのお食事の悩み、コップやストローの使い方、などの悩みはありませんか?
実はここから機能を育てることは始まっています!
特別な、大変なことをするわけではありません。
日常に必要な機能を一緒に育てていくためのお手伝いをしています。
また3歳以上のお子さんを対象とした教室もあります。
私たちからも、お子さんたちが健康に成長して欲しいので積極的に働きかけをしていますが、当院にかかっている方はもちろん、かかっていない方でも大丈夫ですので、気になる方はいつでもご相談ください!!
お気軽にご予約・ご相談ください